Опухоль головного мозга – серьезное заболевание, которое может возникнуть у кошек. Она является одной из самых опасных патологий, ведь оказывает непосредственное влияние на центральную нервную систему, отвечающую за координацию движений, поведение и множество других функций организма.
Опухоли головного мозга могут быть как доброкачественными, так и злокачественными. Они развиваются из клеток мозговых оболочек и нервной ткани. Наличие опухоли головного мозга у кота вызывает нарушения в ее функционировании и может привести к различным симптомам – от проблем с двигательными функциями до изменения поведения и когнитивных способностей кошки.
Признаки опухоли головного мозга у кошек зависят от ее типа, местоположения и размеров. Однако, некоторые общие симптомы могут быть следующими:
- Проблемы с равновесием и координацией движений;
- Изменение поведения, включая агрессию или апатию;
- Судороги или эпилептические припадки;
- Зрительные или слуховые нарушения;
- Проблемы с мочеиспусканием или дефекацией;
- Нарушения аппетита и увеличение/уменьшение веса;
- Головные боли и рвота.
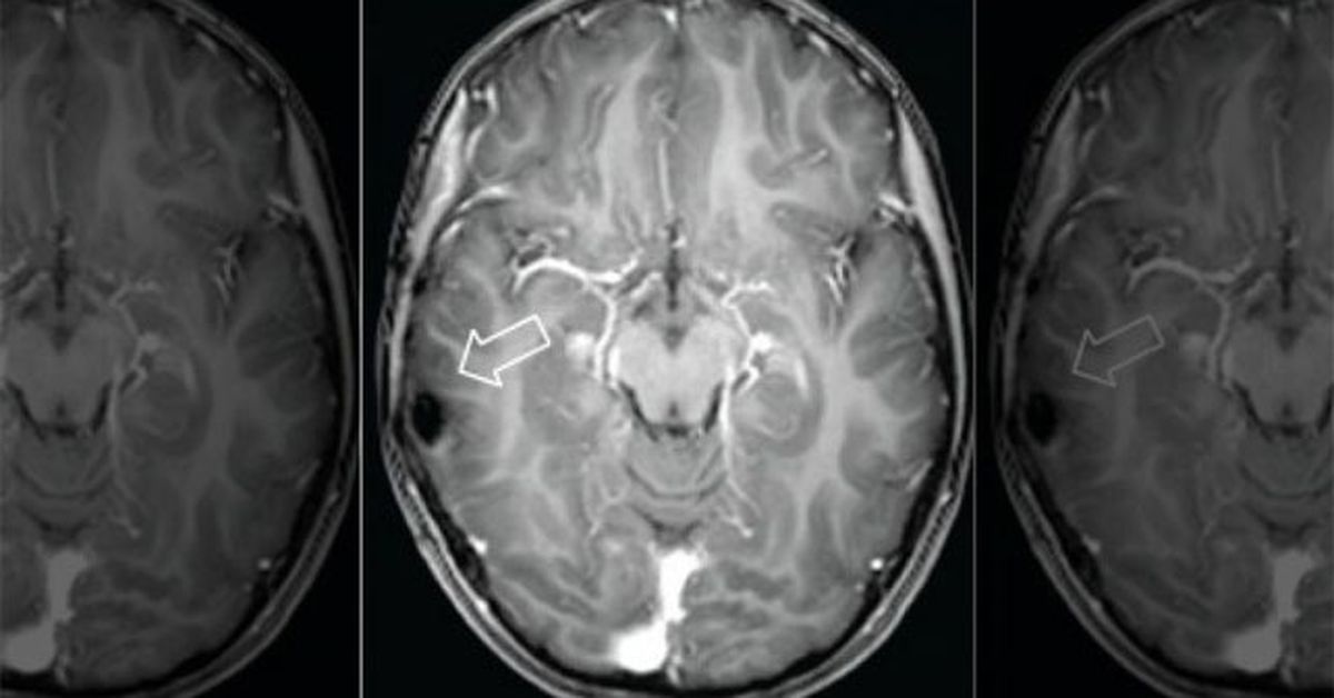
Если вы заметили у своего кота подобные симптомы, немедленно обратитесь к ветеринару. Специалист сможет провести комплексное обследование, включающее нейрологическое исследование, рентген, магнитно-резонансную томографию и биопсию, для определения наличия и характера опухоли головного мозга вашего кошки.
Опухоль головного мозга у кота: симптомы, причины и лечение
Симптомы опухоли головного мозга у кота

Симптомы опухоли головного мозга у кота могут варьироваться в зависимости от места и размера опухоли, а также от индивидуальных особенностей каждого животного. Однако, некоторые типичные симптомы могут включать:
- Нарушение координации движений
- Потеря аппетита
- Повышенная утомляемость
- Затрудненное дыхание
- Судороги
- Изменение поведения
Причины опухоли головного мозга у кота

Причины опухоли головного мозга у кота могут быть разнообразными, и в большинстве случаев точная причина остается неизвестной. Однако, возможными факторами риска могут быть наследственность, воздействие окружающей среды или предыдущие заболевания.
Лечение опухоли головного мозга у кота
Лечение опухоли головного мозга у кота обычно требует комплексного подхода и может включать хирургию, химиотерапию и радиотерапию. Однако, проведение точного диагноза с помощью методов, таких как компьютерная томография или магнитно-резонансная томография, является важным шагом в определении наилучшего метода лечения для вашего кота.
В случае обнаружения симптомов опухоли головного мозга у вашего кота, важно своевременно обратиться к ветеринару для получения профессиональной помощи и рекомендаций по диагностике и лечению. От этого зависит успешное протекание лечения и прогноз.
Симптомы опухоли головного мозга у кота

1. Поведенческие изменения
Одним из симптомов опухоли головного мозга у кота являются изменения в поведении. Кот может стать менее активным или наоборот, страдать от беспричинной агрессии. Он может сбиваться с определенной маршрута, которым он обычно ходит, или забывать уже выученные команды и трюки.
2. Проблемы с координацией

Если опухоль головного мозга у кота находится в области, отвечающей за координацию движений, то могут возникнуть проблемы с равновесием и походкой. Кот может хромать, падать или у него может быть нестабильная походка.
| Симптомы опухоли головного мозга у кота: | Описание: |
|---|---|
| Поведенческие изменения | Менее активный или агрессивный, забывчивость |
| Проблемы с координацией | Хромание, нестабильная походка |
Если кот проявляет подобные симптомы, необходимо обратиться к ветеринару для организации комплексного обследования и постановки точного диагноза. Раннее обращение к врачу может повысить шанс на успешное лечение и увеличить шансы на выздоровление кота.
Причины возникновения опухоли головного мозга у кота
Опухоль головного мозга у кота может возникнуть по разным причинам. Вот некоторые из них:
1. Генетическая предрасположенность

Некоторые породы кошек, такие как персидская и сиамская, имеют повышенную предрасположенность к развитию опухолей головного мозга. Генетические мутации могут быть наследственными и приводить к формированию определенных типов опухолей.
2. Воздействие окружающей среды
Длительное воздействие токсических веществ, радиации или других вредных факторов окружающей среды может быть одной из причин возникновения опухоли головного мозга у кота. Продолжительный контакт с определенными химическими веществами или проживание в районах с высоким уровнем загрязнения может увеличить риск развития опухоли.
Следует отметить, что причины возникновения опухоли головного мозга у кота могут быть разнообразными и уникальными для каждого индивидуального случая. Поэтому регулярные визиты к ветеринару, своевременная диагностика и лечение являются важными мерами предотвращения и борьбы с этим заболеванием.
Лечение опухоли головного мозга у кота

Хирургическое вмешательство
Одним из основных методов лечения опухоли головного мозга у кота является хирургическое вмешательство. В зависимости от размера и локализации опухоли, хирург может удалить ее полностью или частично. Важным моментом является точное определение границ опухоли перед операцией, что обеспечит успешное удаление опухоли и минимизацию рисков.
Лучевая терапия
Если опухоль не может быть полностью удалена хирургическим путем или ее локализация делает операцию невозможной, может применяться лучевая терапия. При этом опухоль облучается специальными рентгеновскими лучами, которые разрушают злокачественные клетки. Этот метод может использоваться в сочетании с хирургическим вмешательством или самостоятельно.
Медикаментозная терапия
Параллельно с хирургическим вмешательством или лучевой терапией врач может назначить медикаментозную терапию для кота с опухолью головного мозга. Это может включать в себя применение противовоспалительных препаратов, гормональных препаратов, противоопухолевых лекарственных средств и других препаратов, направленных на смягчение симптомов и замедление роста опухоли.
Важно понимать, что лечение опухоли головного мозга у кота должно быть комплексным и затрагивать все доступные методы. Онколог должен определить наиболее эффективный план лечения исходя из индивидуальных особенностей каждого кота и степени развития опухоли. В некоторых случаях может потребоваться комбинация различных методов лечения для достижения наилучших результатов.






