Неаполитанский мастиф - это древняя порода собак, которая внушает своим внешним видом и характером. Сильные и мощные, эти собаки имеют прочные кости и крупные лапы, что позволяет им быть отличными стражами и охранниками.
Однако, наряду с их впечатляющей внешностью, у неаполитанских мастифов также может быть некоторое количество здоровотворных проблем. Одной из самых распространенных проблем у этой породы является дисплазия локтевого сустава. Это состояние, при котором подвижность и стабильность локтевого сустава нарушены, что может привести к хронической боли и ограничению движений.
Дисплазия локтевого сустава может быть обусловлена различными факторами, включая генетическую предрасположенность, неправильное питание и недостаток физической активности. Это состояние чаще всего проявляется у молодых собак, когда нормальное развитие костей и суставов не проходит должным образом. Симптомы дисплазии локтевого сустава включают хромание, отказ двигаться, болезненность при прикосновении к суставу, а также искажение его анатомической формы.
Если вы заметите у вашего неаполитанского мастифа подобные симптомы, обратитесь к ветеринару. Он проведет диагностику и предложит наиболее эффективные методы лечения и улучшения качества жизни вашего питомца. Будьте внимательны к здоровью своей собаки и не забывайте о регулярных осмотрах у специалиста, чтобы предотвратить возможные осложнения и обеспечить ему долго и счастливо жить!
Неаполитанский мастиф: дисплазия локтевого сустава
Дисплазия локтевого сустава - это патология, которая проявляется в структурных аномалиях сустава. Она может быть вызвана генетическими факторами, плохой питанием, неправильным ростом и развитием собаки.
Симптомы дисплазии локтевого сустава у неаполитанских мастифов
Основные симптомы дисплазии локтевого сустава у неаполитанских мастифов включают:
- Хромость
- Боль при движении
- Сниженная активность
- Отказывается ходить по лестнице
Симптомы могут появляться в различных возрастах, но чаще всего проявляются в возрасте от 4 до 10 месяцев.
Лечение и уход за неаполитанским мастифом с дисплазией локтевого сустава
Если у вашего неаполитанского мастифа диагностирована дисплазия локтевого сустава, следует обратиться к ветеринару для назначения адекватного лечения. Обычно это включает применение специальных препаратов для суставов, физиотерапию и умеренную физическую активность.
Важно следить за весом собаки, потому что избыточный вес может усугубить симптомы. Регулярные упражнения и правильное питание также могут помочь снизить риск прогрессирования дисплазии.
Определенные меры профилактики также могут помочь снизить риск развития дисплазии локтевого сустава у неаполитанского мастифа: выбор здоровых родителей, рациональное питание, контроль нагрузки на суставы во время роста и развития.
Что такое дисплазия локтевого сустава у неаполитанских мастифов?
Дисплазия локтевого сустава у неаполитанских мастифов обычно проявляется в возрасте от 4 до 10 месяцев, хотя симптомы могут появиться и позже. Основные признаки этого заболевания включают хромоту, отказ от выполнения определенных движений, боль при прикосновении к локтевому суставу и отек вокруг него.
Причины дисплазии локтевого сустава у неаполитанских мастифов могут быть генетическими или проявляться вследствие неправильного развития сустава. Ответственными за возникновение этого состояния гены могут передаваться от поколения к поколению, поэтому важно избегать разведения собак, которые имеют предрасположенность к дисплазии.
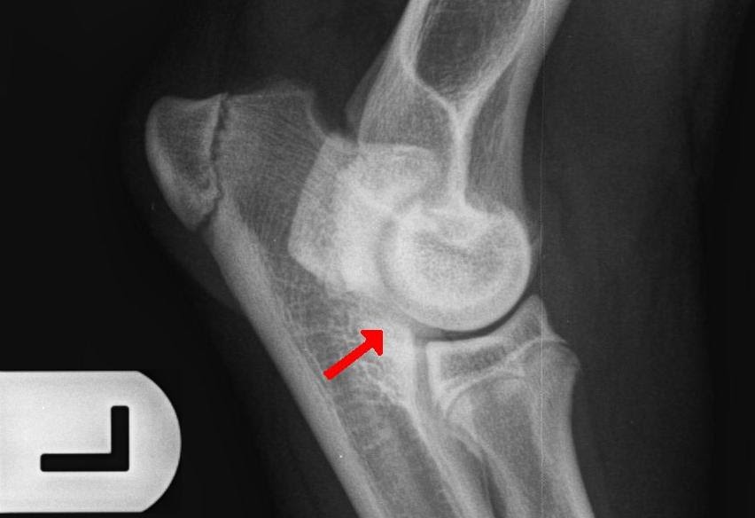
Для диагностики дисплазии локтевого сустава у неаполитанских мастифов обычно используют рентгенографию, которая позволяет оценить состояние сустава и определить наличие патологических изменений. Лечение может включать консервативные методы, такие как физиотерапия и применение препаратов для облегчения боли. В более серьезных случаях может потребоваться хирургическое вмешательство.
Важно отметить, что дисплазия локтевого сустава является развивающимся состоянием и может усугубляться со временем. Поэтому раннее обнаружение и лечение этого заболевания критически важны для обеспечения максимально комфортной жизни неаполитанского мастифа.
Причины возникновения дисплазии локтевого сустава у неаполитанских мастифов
Существует несколько возможных причин возникновения дисплазии локтевого сустава у неаполитанских мастифов:
Генетическая предрасположенность
Одной из главных причин дисплазии локтевого сустава является наследственность. Некоторые линии неаполитанских мастифов имеют генетическую предрасположенность к развитию этого заболевания. Если родители уже страдают от дисплазии локтевого сустава или являются носителями генов, шансы на развитие этого заболевания у их потомков значительно возрастают.
Плохая генетика и разведение
Неаполитанские мастифы с плохой генетикой и недостаточным контролем в разведении также имеют повышенный риск развития дисплазии локтевого сустава. Неправильный подбор родителей, которые сами имеют проблемы с суставами, может привести к передаче генетической предрасположенности и усугублению этого заболевания в следующих поколениях.
Неправильное питание и уход
Плохое питание и неправильный уход также могут способствовать развитию дисплазии локтевого сустава у неаполитанских мастифов. Недостаток определенных питательных веществ, включая кальций и витамин D, а также избыточный вес, могут негативно влиять на здоровье суставов и способствовать развитию дисплазии.
В целом, дисплазия локтевого сустава у неаполитанских мастифов имеет множество причин, включая генетическую предрасположенность, некачественное разведение, плохое питание и неправильный уход. Чтобы минимизировать риск развития этого заболевания, необходимо приобретать щенков из проверенных питомников, следить за их питанием и обеспечивать правильный уход за суставами.
Как определить дисплазию локтевого сустава у неаполитанского мастифа?
- Хромание: если ваш мастиф начинает прихрамывать или хромать на переднюю лапу, это может быть признаком дисплазии локтевого сустава. Обратите внимание на то, как он становится на лапы, при ходьбе или во время активности.
- Ограниченная подвижность: если вы замечаете, что ваш мастиф становится менее активным, избегает игры или прыжков, это может быть связано с болезнью локтевого сустава. Подвижность в суставе может быть ограничена из-за большого количества дегенеративных изменений внутри.
- Болевая реакция: если вы прикасаетесь к суставу вашего мастифа и он проявляет признаки дискомфорта, морщится или подает звуки дискомфорта, это может быть признаком дисплазии локтевого сустава.
- Затрудненная лестничная прогулка: если ваш мастиф испытывает затруднения при подъеме или спуске по лестнице, это может быть связано с проблемами локтевого сустава. Обратите внимание на его поведение во время этих действий.
Если вы заметили хотя бы один из этих признаков у своего неаполитанского мастифа, рекомендуется обратиться к ветеринару для подтверждения диагноза и разработки плана лечения. Заболевание может прогрессировать со временем, поэтому важно обратиться за помощью как можно скорее.
